Advancing the science of quality – from diagnosis to recovery
Stemming from rigorous, academic-level research, Covera’s efforts are designed to quantify quality of care, measure its delivery across conditions and patient populations, and understand its impact on treatment, outcomes, and costs.
Advancing the science of quality – from diagnosis to recovery
Stemming from rigorous, academic-level research, Covera’s efforts are designed to quantify quality of care, measure its delivery across conditions and patient populations, and understand its impact on treatment, outcomes, and costs.
Delivering clinically validated tools proven to improve outcomes and reduce costs
Drawing from causal inference epidemiology and population health statistics to neural networks and computer vision, Covera Health is developing the science-based tools necessary to support physicians in their efforts to improve care quality and payers in their efforts to manage it efficiently.
Empowering radiologists with tools to facilitate peer learning and improve quality, all within the safe space of an AHRQ-certified Patient Safety Organization
Injecting AI-powered quality insights throughout the patient journey to improve patient outcomes and reduce costs
Delivering a clinical intelligence platform that enables all network providers to participate in and benefit from quality improvement activities
Leading the science of quality
Patient Journeys Analyzed
Quality Insights Generated
Seminal Publications Authored
Drivers of quality radiology
Drivers of variation in radiology quality include technical parameters, interpretative discrepancies, and protocol differences.
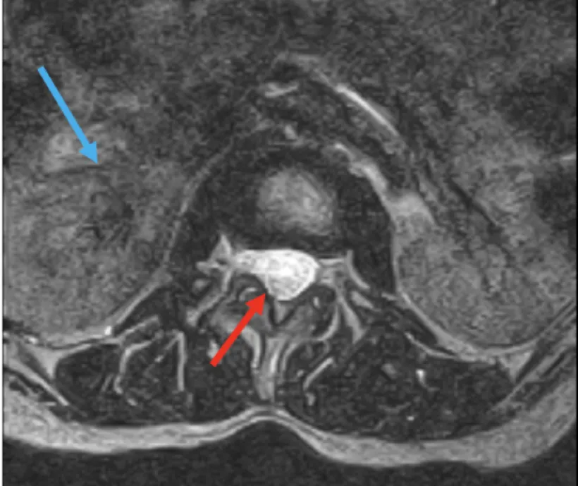
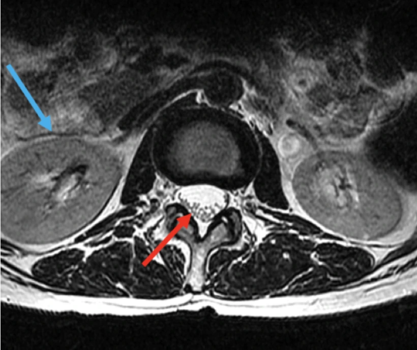
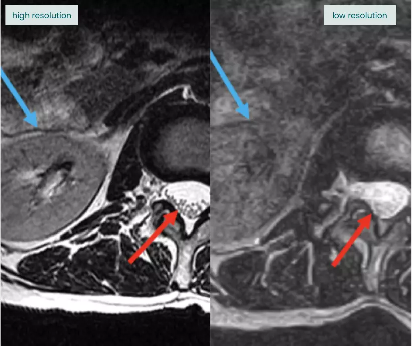
The technical quality of images varies widely from one device to another.
Slide the circle left or right to see how two scanners produce images of the same patient.
In the lower quality image, individual nerve roots and solid organ tissue are difficult to see
Nerve Roots
Organ Tissue
Errors in interpretation can send patients down the wrong treatment path.
Failure to describe the muscle atrophy accompanying this rotator cuff tear represents a missed chance to flag that the patient may be a poor candidate for surgery and unlikely to recover well.
Imaging center protocols may prioritize speed over coverage.
When MRI sections are widely spaced, interpretation is more difficult, and radiologists can miss important information.
Demonstrated Results
A nationwide 12-month, large-scale prospective study demonstrated that patients that experienced improved radiological quality experienced significantly improved outcomes at a lower cost.
low resolution
high resolution
Atrophied
Normal
Widely spaced (~15 minutes)
Narrowly spaced (~40 minutes)